
开初仁波且
开初仁波且:由宁玛派释迦迥乃祖师转世之摩诃法王认证,是第三世多杰羌佛和摩诃法王的弟子,亦随摩诃法王座下十年有余,深受教益。曾受第三世多杰羌佛“现量大圆满”、“金刚换体禅”、“摊尸拙火定”三部大法的灌顶,最难得的是三部法全部修成功了。一个时辰之内他成就了现量大圆满,进入佛土虹光世界,现在昼夜恒时均可进入佛土世界。金刚换体禅修成功后,经核磁共振仪检测照片,他的顶门头骨开一深洞入脑髓如鸡蛋大,并整个头骨化现为弥勒菩萨乳胎像。开初仁波且禅定显赫,源于摊尸拙火定,以红外线热感应摄影仪探测拙火升温,体温升达华氏197.4度(摄氏92度),已达三段拙火,仅次于人们所知的莫知仁波且的功夫,在当今全世界拙火定禅修中堪称上乘境界。经七师十证公开考试,现场证实为合格的硕士道师资圣德。摩诃法王对开初仁波且说:“你要有大菩提之心,功夫上学莫知仁波且是比较困难,但至少要赶上禄东赞仁波且,在利益众生上不要学禄东赞仁波且,要实际为众生做些什么。”



红外线热感应仪探测开初仁波且拙火高温

红外线热感应仪拍摄的开初仁波且修拙火定时的围观人群
这是从实况录像中截取的照片,是开初仁波且在修摊尸拙火定时用红外线热感应摄影仪拍摄的。画面上热感应仪探测出三种温度:一,这一刻开初仁波且身体的最低温度:华氏77.9 度;二,开初仁波且身体的最高温度:华氏197.4 度,高温发出位置在肚脐下密轮处(丹田),鲜红色部位。三,开初仁波且身体平均温度:华氏164.1 度。华氏197.4 度,也就是摄氏92 度,这已是快要将水煮开、肉煮熟的温度!【详见《千年难见的真佛法现前》DVD实况录像】
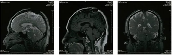
开初仁波且MRI核磁共振脑断层扫描医学图片


这是开初仁波且修金刚换体禅后,在加州医疗中心检查身体时拍摄的MRI核磁共振检测照片。可以清晰看见开顶后,头顶大乐轮门处头骨、皮肉等大开,开口宽约两英寸,脑髓开出鸡蛋大的凹洞。更令人震撼的是,当开初仁波且拍摄扫描照片时,整块头骨突然不见,而呈现出弥勒菩萨乳胎婴童像,身搭俱袍,手脚呈现,心空大洞,跏趺而坐,在电脑上清晰可见五官面容,眼睛、鼻子、嘴巴。
(本文选自《无上珍宝之福音》)
